Dr. Eduardo José de Almeida - Especialista em Prótese Dentária - Sorocaba - SP

Estética EJA moderna e inovadora

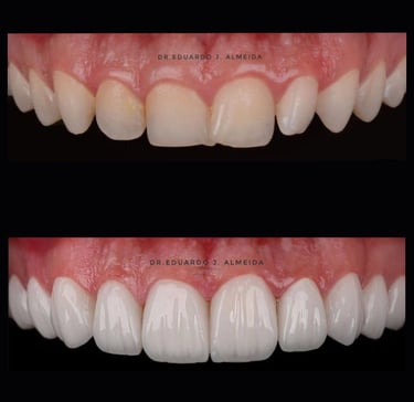
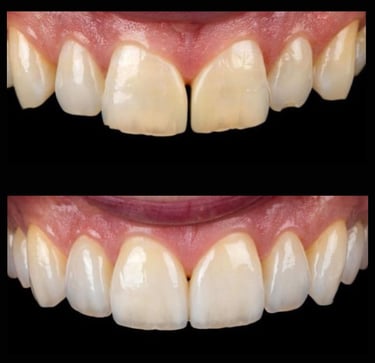
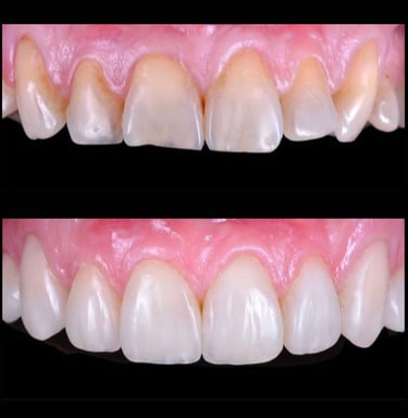
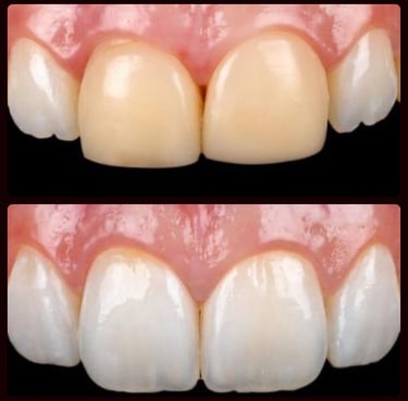
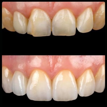
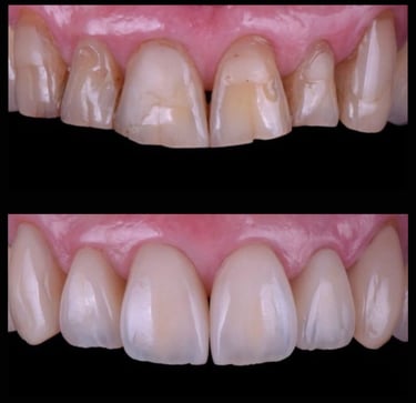
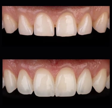
Tratamento moderno com a Técnica da Matriz Transparente para realizar Facetas em Resinas com resultado rápido, duradouro, qualidade garantida e preço significamente mais econômico

Clientes satisfeitos com resultados incríveis.

★★★★★

TÉCNICA DA MATRIZ TRANSPARENTE

Tratamentos Estéticos Modernos com inovação e qualidade

Descubra os benefícios dos tratamentos inovadores e de alta qualidade oferecidos pela Estética EJA

1. Eficiência e Rapidez: Utilizando a matriz transparente, o dentista consegue replicar a forma e o contorno desejado com alta precisão, o que permite a finalização do procedimento em menos tempo, muitas vezes em uma única sessão.

2. Custo-efetividade: A técnica da Matriz Transparente é mais acessível economicamente, já que utiliza resinas compostas, que são mais baratas que as facetas de porcelana, sem comprometer a qualidade estética.

3. Estética Personalizada: A matriz transparente permite uma visualização exata do resultado final antes mesmo da aplicação da resina, garantindo uma personalização precisa, com resultados esteticamente agradáveis e naturais.

4. Menos Invasiva: A utilização da matriz transparente não exige desgaste da estrutura dentária na maioria das vezes, e quando se faz necessário, é feito preservando ao máximo o esmalte natural dos dentes, o que traz um grande benefício para a saúde bucal a longo prazo.

5. Versatilidade e Precisão: Essa técnica é extremamente versátil, podendo ser usada para corrigir diversas imperfeições dentárias, como descolorações, desalinhamentos, fraturas e espaços entre os dentes, com um nível de precisão elevado.

6. Reversibilidade: A natureza menos invasiva do procedimento facilita futuras modificações ou remoção de maior parte da resina caso necessário, oferecendo mais flexibilidade ao paciente.

7. Inspiração e Transformação: A técnica da Matriz Transparente proporciona uma transformação visível e impactante, que pode aumentar significativamente a autoestima e confiança dos pacientes, sendo uma escolha inspiradora para quem deseja melhorar o sorriso.

Essa técnica não apenas revoluciona o processo de aplicação de facetas dentárias como também torna o tratamento mais acessível e personalizado, proporcionando resultados de alta qualidade com um custo-benefício incomparável.

O que é a Técnica da Matriz Transparente ?

A Técnica da Matriz Transparente é um método inovador na odontologia estética que permite criar facetas dentárias de forma rápida, precisa e personalizada. Com o uso de uma matriz transparente, o dentista consegue replicar fielmente o formato e contorno desejados dos dentes através de um enceramento prévio para diagnóstico, garantindo um resultado estético previsível e natural. Essa técnica é eficiente, menos invasiva, e oferece um excelente custo-benefício, tornando o sorriso do paciente mais harmonioso e impactante em menos tempo.

Dentes reproduzidos em cera no laboratório

Matriz Transparente copia o enceramento

Reproduzimos o resultado diretamente na boca

Características e benefícios da Técnica da Matriz Transparente

blue and white smoke illustration

"Eu evitava sorrir e isso me impedia de estar confortável nos momentos mais felizes. Fazer as facetas de resina foi de longe a melhor escolha que já fiz! Além de ser um tratamento mais acessível e muito menos invasivo foi um tratamento mais tranquilo que imaginava. O Dr. Eduardo sempre cuidou da minha saúde bucal e do meu sorriso. Tem uma delicadeza e precisão que só poderiam resultar num trabalho detalhista e impecável. O resultado superou todas as expectativas. Pude sorrir sem me preocupar e confiante no dia do meu casamento graças ao trabalho do Dr. Eduardo. Fiquei extremamente satisfeita com o resultado e agora, mais confiante e feliz com meu sorriso. Recomendo de olhos fechados !"

Beatriz Videira

★★★★★
★★★★★

Luíz Roberto Meirelles

Acabei de finalizar meu tratamento e ficou simplesmente incrível. O Dr. Eduardo é um profissional excelente, super cuidadoso e atencioso e realmente superou minhas expectativas. Os objetivos foram todos alcançados e o resultado maravilhoso. Muito melhor do que eu poderia imaginar. Estou super satisfeito e sem dúvidas recomendo o Dr. Eduardo para todos que conheço.

"Sou Cliente do Dr. Eduardo desde meus 8 anos de idade, há exatos 15 anos. "Desde sempre, meu sonho era ter um sorriso natural, mas eu nunca imaginei que poderia ficar tão perto do Natural! O tratamento superou todas as minhas expectativas. Cada detalhe foi cuidadosamente pensado, e o resultado é simplesmente impressionante. Vejo um sorriso que reflete exatamente quem eu sou – confiante e autêntico. Recebo elogios o tempo todo e minha autoestima nunca esteve tão alta. A sensação de finalmente poder sorrir sem reservas é inestimável. Se você, como eu, busca um sorriso que seja natural, harmonioso e verdadeiramente seu, não pense duas vezes. Este tratamento é transformador!"

★★★★★

Roger Mendes

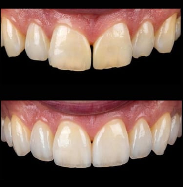
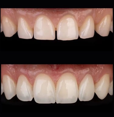
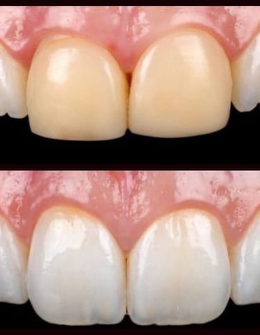
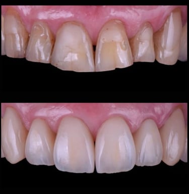
Resultados Eficazes e Duradouros

Conheça casos de sucesso e depoimentos de clientes satisfeitos com nossos tratamentos.

Entre em contato para agendar sua consulta hoje mesmo!

Agende sua consulta conosco e descubra os benefícios da técnica utilizada.

Ofertas Exclusivas e Pacotes

Promoção "Transformação Completa do Sorriso"

O Tratamento Premium que vai além das facetas em resina, proporcionando aos pacientes uma transformação completa e personalizada do sorriso. Este pacote incluirá:

  1. Avaliação Odontológica Completa: Uma consulta inicial detalhada, onde será feita uma análise minuciosa da sua saúde bucal, incluindo exames de imagem digital e planejamento do tratamento.

  2. Limpeza Dentária Profunda: Realização de uma profilaxia profissional, removendo placas e tártaros, deixando os dentes prontos para os próximos procedimentos.

  3. Facetas em Resina: Aplicação das facetas em resina para corrigir imperfeições, melhorar a simetria e harmonizar o sorriso.

  4. Clareamento Dentário Profissional: Clareamento dos dentes que não receberão as facetas, garantindo um sorriso uniforme e brilhante.

  5. Orientação Personalizada de Higiene Bucal: Sessão educativa pós-tratamento, onde o paciente receberá instruções detalhadas de como manter os cuidados diários para preservar o resultado do tratamento.

  6. Acompanhamento Pós-Tratamento: Duas consultas de acompanhamento após a conclusão do procedimento, garantindo que tudo esteja perfeito e que o paciente esteja satisfeito com os resultados.

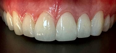
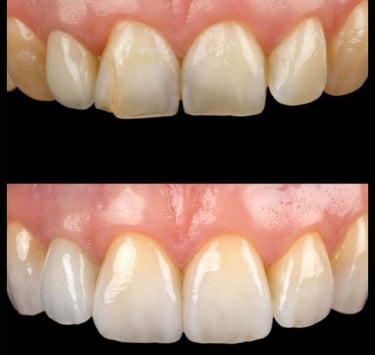
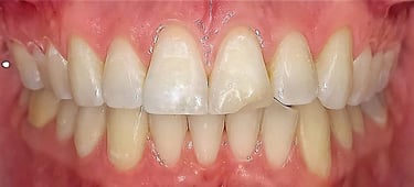
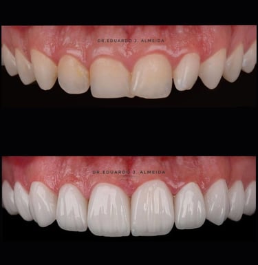
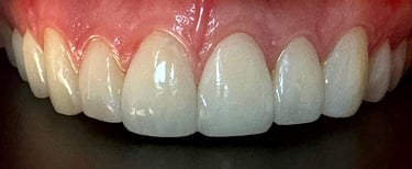
Resultado dos Casos Clínicos

Demonstração dos resultados de Clientes satisfeitos para gerar confiança

Ofertas Exclusivas para Você

Aproveite descontos especiais e pacotes exclusivos para primeiros clientes.